Dental Implants

Before: A collapsed detention requiring rehabilitation.

After: Successfully restored with dental implants.


The second tooth from the upper left is a single dental implant-supported crown


The 3rd tooth from the upper right is restored with an implant-supported porcelain crown.

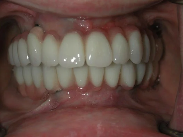
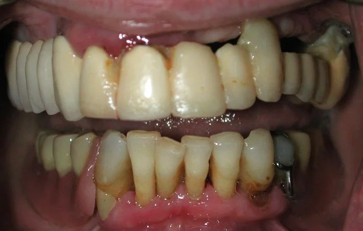
Before: A lovely lady in her 50s with failing and unesthetic dentition

After: Successfully restored with full mouth dental implants


 Before: Failing and unesthetic upper and lower teeth 

After: All-On-4® dental implant procedures on both jaws and a happy patient!


 Before: A lady not pleased with her smile

After: Full mouth treatment with dental implants and crowns – all good!


 Before: A gentleman with many missing teeth needing dental implants

After: All-On-4® dental implants  in the upper jaw and  dental implants in the lower jaw restored him successfully


 Before: A lady not pleased with her smile as a result of gum disease

After: Happily restored with full mouth dental implants


We offer a 5 year warranty on implants and 3 years on prosthetic work

Crowns and Bridges

Before: Previous porcelain crowns lacking harmony.

After: New all-ceramic crowns restored the harmony in this smile.


Before: Unattractive old porcelain bridges, missing teeth.

After: New porcelain bridges and implants helped improve the smile dramatically.


Before: Unaesthetic crowns on the upper front teeth.

After: New porcelain crowns brought back harmony to the smile.

Cosmetic Dentistry/Veneers

Before: A gummy smile and unesthetic dentistry present.

After: Successfully restored with gum lift and new veneers and crowns.


Tooth Whitening

Before: This patient, an actor, wanted to improve his smile.

After: After 7 days of home whitening, he was satisfied.


Before: A healthy dentition requiring esthetic improvement.

After: 10 days of home bleaching brought the desired result


Before: A discoloured dentition needing bleaching

After: 4 sessions of in-office bleaching were required for this result

31 Penelope Delta Street, Neo Pychiko, Athens 15451, Greece | (+30) 2106776725-7 | dentalprosthetics@gmail.com

© 2026 Psychogios & Associates
Website by
Profound 4